Hà NộiBà Liên, 50 tuổi, tiền sử hở van tim, gần đây ho nhiều nghĩ do bệnh tim mạch, song bác sĩ phát hiện nốt ác tính ở phổi.
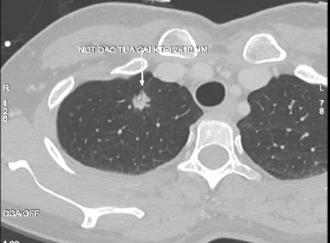
Kết quả chụp CT tại Bệnh viện Đa khoa Tâm Anh Hà Nội cho thấy phổi phải của bà Liên có nốt đặc tua gai, kích thước khoảng 12×10 mm, xếp loại Lung-RADS 4X. TS.BS Vũ Hữu Khiêm, Trưởng khoa Ung bướu, giải thích 4X là phân loại cao nhất trong hệ thống Lung-RADS, cho thấy tổn thương có đặc điểm hình ảnh bất thường, nguy cơ ác tính cao.
Bác sĩ phẫu thuật nội soi cắt một phần thùy trên phổi phải chứa tổn thương nhằm sinh thiết, xác định bản chất khối u. Kết quả giải phẫu bệnh phẩm ghi nhận ung thư biểu mô tuyến.

Nốt phổi nguy cơ cao của bà Liên trên phim chụp CT. Ảnh: Bệnh viện Đa khoa Tâm Anh
Êkíp phẫu thuật cắt rộng toàn bộ thùy trên phổi phải kèm nạo vét hạch vùng, đảm bảo xử lý triệt để tế bào ung thư.
Hậu phẫu, sức khỏe bà Liên ổn định. Xét nghiệm mô bệnh học sau đó xác định ung thư biểu mô tuyến không chế nhầy xâm nhập, giai đoạn pT1bpN0 – một dạng ung thư phổi không tế bào nhỏ giai đoạn rất sớm. 7/7 hạch không có tế bào u di căn, diện cắt phế quản và mạch máu rốn phải cũng không có tế bào u. Nhờ phẫu thuật triệt căn khối u ở giai đoạn sớm, bà Liên không cần hóa hay xạ trị bổ trợ, tỷ lệ khỏi bệnh khoảng 80-95%, theo bác sĩ Khiêm.

Bác sĩ Khiêm tư vấn cho bà Liên. Ảnh: Bệnh viện Đa khoa Tâm Anh
Nốt phổi là một tổn thương dạng tròn hoặc bầu dục nằm trong nhu mô phổi. Đa phần được phát hiện tình cờ khi chụp X-quang, CT ngực liều thấp khi người bệnh khám một bệnh lý khác hoặc kiểm tra sức khỏe định kỳ.
Bác sĩ Khiêm cho hay ung thư phổi giai đoạn sớm có thể điều trị khỏi hoàn toàn. Tỷ lệ sống trên 5 năm của bệnh nhân ung thư phổi giai đoạn một có thể đến 70-90% nếu được điều trị đúng phác đồ.
Ở giai đoạn sớm, bệnh thường diễn biến âm thầm, hầu như không có triệu chứng. Khi xuất hiện dấu hiệu, ung thư phổi thường đã ở giai đoạn muộn hơn, điều trị khó khăn, nguy cơ biến chứng và hiệu quả điều trị giảm rõ rệt. Khám định kỳ có thể giúp phát hiện bệnh lý ngay từ giai đoạn sớm, khi khả năng can thiệp còn cao, nâng cao tỷ lệ sống và chất lượng cuộc sống cho người bệnh.
Hiếu Nguyễn
*Tên bệnh nhân đã được thay đổi
| Độc giả gửi câu hỏi về bệnh ung thư tại đây để bác sĩ giải đáp |
Nguồn: https://vnexpress.net/tuong-benh-tim-hoa-ung-thu-phoi-5061749.html
